
我们从小就知道要养成良好的刷牙习惯。然而大家都知道我们为甚么要刷牙和怎样刷牙才有效吗?
牙菌膜积聚会导致蛀牙和牙周病,因此必须彻底清洁牙齿,并将黏附在假牙或矫齿器上的牙菌膜清除乾净。要全面清除牙菌膜,必须做到“全方位刷牙”。
建议每天早晚(起床后与睡觉前)进行全方位刷牙,以彻底清除牙菌膜,预防牙周病。
此外,应每年至少接受一次牙科专业人员检查,确保刷牙方法正确,并在需要时依从指导作出改善。
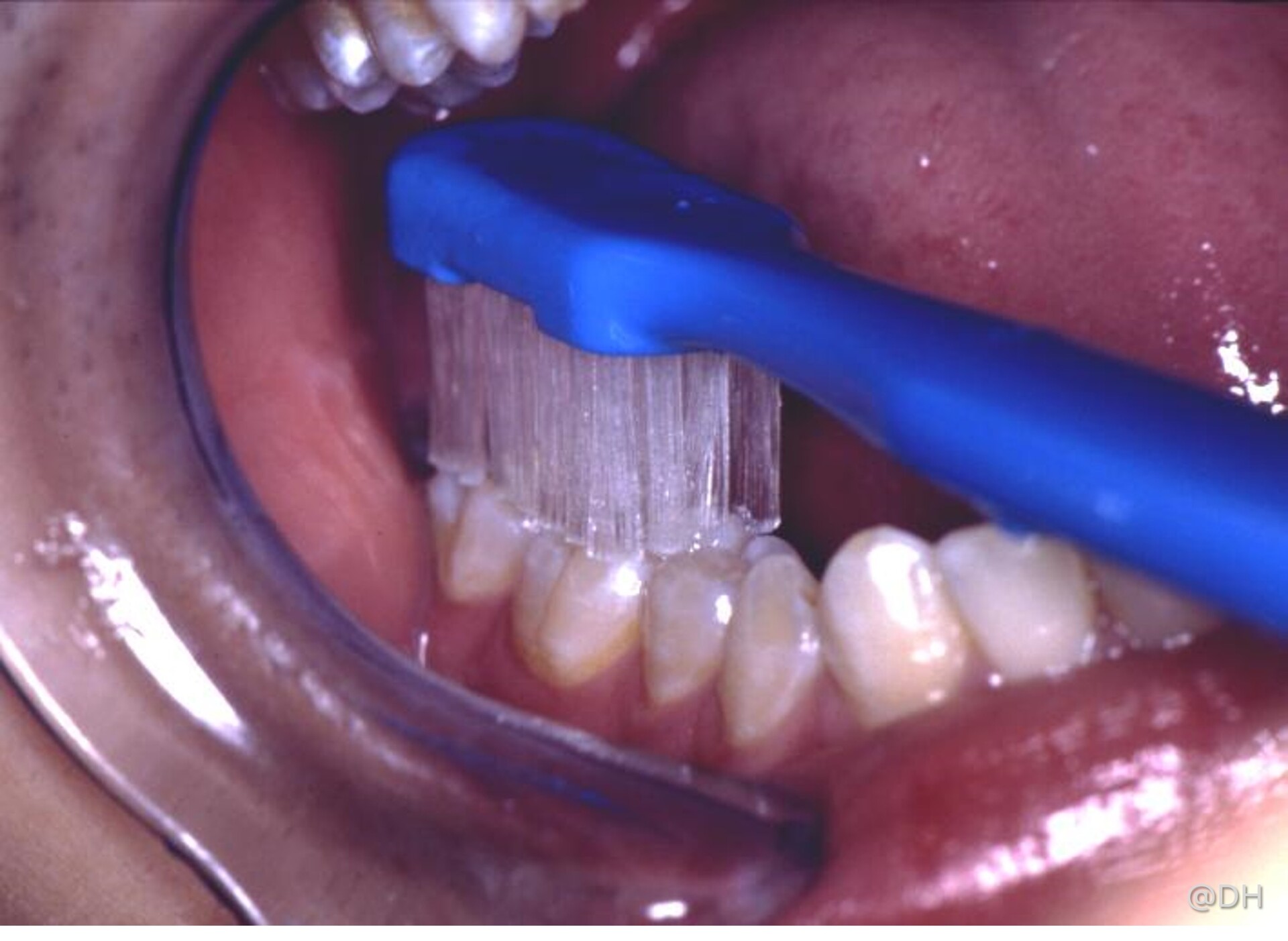
刷牙步骤:牙刷斜放在牙龈边缘
由于牙菌膜容易在牙龈(牙肉)边缘的龈沟内积聚,因此刷牙时需要把牙刷斜放在牙龈边缘。
牙菌膜积藏在牙龈边缘的龈沟内

牙刷斜放在牙龈边缘

刷牙步骤:有序且全方位清洁每个牙面
刷牙时需根据牙齿的生长方向及结构,调整牙刷的方向及力度,以确保能彻底清洁每个牙面。
![]() | 外侧面:从下排牙齿外侧面开始,把牙刷斜放在牙龈边缘,以两至三颗牙齿为一组,用适中力度来回移动牙刷。 |
![]() | 内侧面:然后刷牙齿的内侧面,同样把牙刷斜放在牙龈边缘,以两至三颗牙齿为一组,用适中力度来回移动牙刷。
|
![]()
| 门牙内侧:刷门牙内侧时,要把牙刷直立放置,用适中力度从牙龈刷向牙冠。
|
![]() | 咀嚼面:接着刷咀嚼面,把牙刷放在咀嚼面上前后移动。 |
最后,重复以上动作,清洁上排牙齿的外侧面、内侧面和咀嚼面。
|
注意事项
选用合适的牙刷:牙刷须能在口腔内灵活转动,刷到每一个牙面。刷毛必须柔软, 以免弄伤牙龈。刷头大小应根据口腔大小而选择。一般来说,适合成人使用的刷头是约为港币一元直径般大。
- 选择含有氟化物 (Fluoride) 的牙膏:氟化物能有效帮助防止蛀牙。
- 建议依固定顺序刷牙,避免漏刷:上述顺序仅供参考,并非唯一标准,顺序可依个人习惯稍作调整,采取特定的顺序刷牙并持续遵循即可。
- 刷牙只能清洁牙齿表面的牙菌膜,要清除牙齿邻面的牙菌膜,就要使用牙线、牙线棒或牙缝刷。
- 只要方法正确,做得够彻底,不论步骤是先刷牙、先用牙线或牙缝刷,都能有效清洁牙齿。
刷牙时常见疑难及解决方法
刷毛难以触及某些牙面:有些牙面较难彻底清洁,例如下排牙齿近舌头的内侧面及参差不齐的牙齿,可用刷头细小的牙刷或单头牙刷清洁相关部位。
- 刷牙时想呕吐:有些人刷到某些部位时会想呕吐,可选用刷头细小的牙刷,减少刺激反应。
- 刷牙时牙龈出血及疼痛:牙菌膜积聚会引致牙龈发炎,即使刷牙方法正确,初期也可能出现出血或疼痛。此时可选用软毛牙刷轻柔清洁该位置,待牙菌膜清除后,发炎症状便会逐渐减退,牙龈恢复健康。若情况持续,建议咨询牙科专业人员,以检视刷牙方法并接受适切指导。
大家要谨记上述刷牙步骤与诀窍,守护牙齿健康。
更多有关清洁牙齿的健康资讯,请浏览卫生署口腔健康促进科的专页:https://www.toothclub.gov.hk。

今日热搜




查看更多



